
-
合肥治疗牙列稀疏好吗?
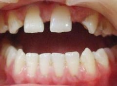
合肥治疗牙列稀疏好吗? 牙列稀疏 通常就是指的牙齿间出现的间隙.一般出现这种情况的原因有:牙体形态小,颌骨形态正常;先天缺牙,颌骨形态正常;牙体形态正常,颌骨过大;拔牙后不镶牙……【详细】

-
合肥牙列稀疏的修复?
合肥牙列稀疏的修复? 当我们需要开怀大笑的时候,当我们说话的时候,牙齿代表着我们的一个门面,但是牙齿出现牙列稀疏怎么办? 要怎样才能修复呢? 牙列稀疏 一般就是指的牙齿间出现的……【详细】

-
合肥治疗牙列稀疏好吗?
合肥治疗牙列稀疏好吗? 牙列稀疏 通常就是指的牙齿间出现的间隙.一般出现这种情况的原因有:牙体形态小,颌骨形态正常;先天缺牙,颌骨形态正常;牙体形态正常,颌骨过大;拔牙后不镶牙……【详细】

-
合肥治牙列稀疏哪家好?
合肥治牙列稀疏哪家好? 牙齿不齐怎么办?影响容貌怎么办?需要矫正,那么在合肥到哪矫正才是好的呢? 合肥佳德口腔 治疗牙列不齐拥有德美国国多年齿科临床经验及先进牙齿……【详细】

-
合肥治疗牙列稀疏多少钱?
合肥治疗牙列稀疏多少钱? 牙齿有缝隙,需要矫正?多少钱? 合肥佳德口腔 医生告诉您 1、看您想用什么方法矫正牙齿稀疏.牙齿矫正的方法有很多种,大致分为以下几种:牙套矫正,其中牙套矫……【详细】

-
合肥治疗牙列稀疏?
合肥治疗牙列稀疏? 牙列稀疏即牙齿出现间隙,常常困扰着人们,牙齿出现间隙也就意味着吃菜是菜可能会留在牙齿上,这样会有多烦恼,所以,如果有牙齿稀疏的情况就应该找治疗, 牙齿……【详细】

-
合肥牙列稀疏的危害?
合肥牙列稀疏的危害? 现在有很多人的牙齿出现间隙的情况,这些有间隙的牙经常影响着人们的情绪,让这些人自卑.那么牙齿出现间隙到底有有哪些危害呢?就让 合肥佳德口腔 的医生给我……【详细】
















