- 合肥氟斑色牙该怎么办?
- 来源:佳德口腔 发布时间:2016-12-23 16:25:17
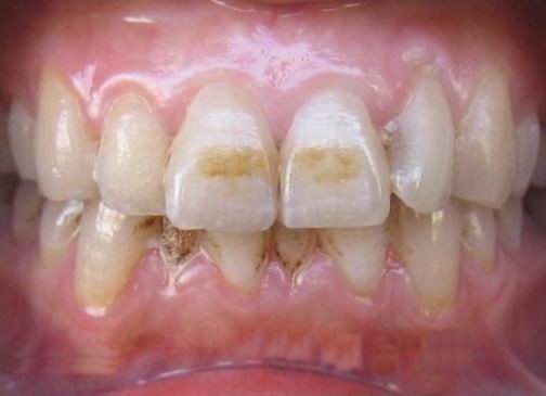
合肥氟斑色牙该怎么办?谁不想拥有一口洁白整齐的牙齿,随时绽放自信笑容呢?然而很多朋友却因为一口牙齿发黄、黑牙而不敢轻易说话,害怕被别人嘲笑,为此是苦恼不已。佳德口腔医生指出,氟斑色牙是一种因为摄入过量氟,导致慢性氟中毒病,早期常见而突出的症状。一般根据病情的发展程度治疗方法也不同。
佳德口腔医生指出随着牙科技术的不断发展,重度氟斑色牙也是可以解决的,解决重度氟斑色牙的方法主要有以下这些:>>>点击咨询了解氟斑色牙有哪些症状?自己是否有氟斑色牙<<<
一、烤瓷牙佳德口腔烤瓷牙适用于重度黑牙齿发黄,四环素沉着牙,氟斑色牙,时间短,快速解决牙齿黑黄问题。采取烤瓷牙的方法,不仅可以改变牙齿的颜色,如果牙齿不整齐,还可以把牙齿排列整齐,使牙齿变得美白光滑。烤瓷牙优势在于效果好,牙齿色泽自然。
二、瓷贴面瓷贴面是指在不磨牙或少磨牙的情况下,应用粘接材料,将薄层瓷修复体固定于患牙唇、颊面,以恢复影响美观的缺损、遮盖变色等缺陷的一种修复方法。因其较冠类修复备牙少,对牙髓刺激小,颜色稳定、美观,具有良好的生物相容性、耐磨损,不易着色及附着菌斑等特点,易被顾客接受。尤其在对年轻恒牙、髓腔较大的牙进行修复时更有利于保存活髓。--->在线了解:氟斑色牙有没有遗传到下一代的可能性?<---
三、全瓷牙佳德口腔医生指出,全瓷牙坚固耐磨,色泽近似于天然牙,生物相容性良好,不刺激口腔组织,易清洗,拥有良好的透明性和折光性,适用于严重氟斑色牙,四环素沉着牙和牙体缺失的人士。佳德口腔的每一颗牙齿经过严格的个性化设计,准确的比色,准确的牙体预备,细心的牙龈保护,合格的冠粘结,精细调合和抛光等步骤;能够很好的避免牙齿后期问题。建议阅读:哪些原因会导致氟斑色牙?
佳德口腔医生温馨提示:秉承对自己负责,对牙齿负责的原则,一定要到正规的口腔机构做牙齿美白,才能得到较有效的保卫。如果还想了解更多关于氟斑色牙的问题或是有其他的疑问,可以点击在线咨询或者拨打美牙热线:0551-62921159,我们会一一为您详解。
为了迎接圣诞和元旦的到来,感谢大家对于佳德口腔的信赖和支持,现推出“双节”感恩回馈活动, 凡做牙齿美容者,两人同行,一人免单!具体优惠活动请点击:迎新季,圣诞礼 ----牙齿齐又白
网络预约请点击:在线咨询
电话预约可拨打:0551-62921159
- 上一篇:重度氟斑色牙怎么办
- 下一篇:牙黑牙牙齿发黄缺失怎么办?



















