
-
合肥牙列稀疏的危害性
合肥牙列稀疏的危害性 .牙齿的美观与否关系到一个人的生活和社交,而牙列稀疏是非常影响一个人的形象的,而且牙列稀疏还会导致食物塞牙,时间久了,就会产生各种各样的牙齿问题,牙列……【详细】

-
牙列稀疏矫正方法哪种好?
牙列稀疏矫正方法哪种好? 牙列稀疏对牙齿,对人都是非常不好的,牙列稀疏不但影响人的外貌美观,同时还会影响人的身体健康,牙列稀疏会是滞留食物,时间久了就会滋生各种细菌,把其他……【详细】

-
牙缝为什么越来越大?
牙缝为什么越来越大? 正常的牙齿是紧凑的,外观上看是没有缝隙的.如果出现缝隙会怎么样呢?牙齿出现缝隙首先是外观上不好看,然后牙齿缝中会塞入食物,时间久了就会产生各种细菌,造……【详细】

-
牙齿稀疏能补牙吗?
牙齿稀疏能补牙吗? 牙齿稀疏主要指的是牙齿间缝隙过大,在日常生活中我们见到的牙缝大的朋友肯定不少.这些牙齿有缝隙的人肯定有很多的烦恼,单从外形上看,就可以看出来,牙齿稀疏影……【详细】

-
牙齿缝隙大怎么办?
牙齿缝隙大怎么办? 如今,大家都很注重牙齿美观,像牙齿有缝隙的朋友就烦恼了,牙齿有缝隙不仅影响说话,对人们外在的美丽的影响也是不可忽视的.为了能够拥有完整的牙齿,牙齿缝隙可……【详细】

-
牙列稀疏有哪些危害您知道吗?
牙列稀疏有哪些危害你知道吗? 牙齿长的不紧凑,很难看?其实这只是牙列稀疏外在的危害的,更深层次的危害更危险.下面就让合肥佳德口腔的医生带我们了解一下牙列稀疏的危害吧……【详细】

-
合肥牙列稀疏?
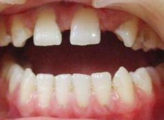
合肥牙列稀疏? 牙列稀疏 通常指的是牙齿间有缝隙,想想,当牙齿中间出现缝隙了,会怎么样?大声笑?不行,会被人看见.吃菜?经常有菜粘在牙齿上.不能大声笑,说话也不敢说,怕别人看见自己……【详细】

-
合肥牙列稀疏矫正的?
合肥牙列稀疏矫正的? 面对牙列稀疏的矫正,让牙列稀疏的顾客头痛不已,究竟在合肥哪家对牙列稀疏进行矫正好呢?下面让我们看看 合肥佳德口腔 的优势. 合肥佳德口腔……【详细】

-
合肥矫正牙列稀疏的价格?
合肥矫正牙列稀疏的价格? 如果遇到牙列稀疏需要矫正,但是不清楚多少钱就能矫正怎么办? 合肥佳德口腔 过告诉您. 合肥矫正牙列稀疏费用是多少? 主要与采用的矫正材料和矫正方法有直……【详细】

-
合肥治牙列稀疏的收费标准?
合肥治牙列稀疏的收费标准? 牙列稀疏是很多人不能忍受的事情,牙齿长得不齐会影响美观,爱美的人更是不能忍的,但是矫正牙列稀疏要多少钱呢?收费标准是什么呢? 合肥佳德口腔 的医生……【详细】
















