- 成人矫正价格是多少呢?
- 来源:佳德口腔 发布时间:2015-12-26 10:14:24
很多牙齿排列不齐的成年人为了美观或是职业需求都进行了牙齿矫正。那成人矫正价格是多少呢?
矫正费用的四大因素:
一、 矫正的费用“因地而异”。在不同地区会有城乡差异,在不同级别的会有收费标准的级别差异。
二、成人牙齿矫正的价格的高低取决于顾客正畸治疗的难度和疗程。不难理解,成人牙齿矫正的价格与难度和疗程是紧密相关的。
三、牙科医生会根据顾客的错牙合情况选择合理的矫正方法,医生技术的成熟也是决定牙齿矫正的效果,同时也会直接影响价格。
四、成人牙齿矫正的价格与顾客所使用的矫正器材料也有关,如国产矫治器物美价廉,但相比进口矫治器可能稍微逊色,当然可根据自身的经济条件情况来定。>>>点击了解诺贝尔隐形矫正价格在多少?
佳德口腔采用的是MBT直丝弓隐形正畸技术
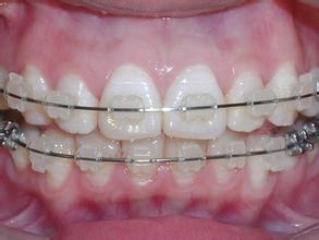
佳德口腔目前应用的隐形材料为氧化铝陶瓷, 陶瓷托槽的硬度、拉伸强度和断裂韧度高、粘接强度。制作技术高,做工精细,托槽角度准确,并且美观,不易察觉。佳德口腔所使用的全陶瓷托槽与牙齿贴合紧密,生物相容性优良,美观舒适,比传统托槽更加美观,配带舒适,利于清洗,将顾客的美观与医生的适合操作性的结合。因为其与牙齿颜色相似,矫正时只看到一根若隐若现的细丝,该矫治器矫治效能高,正常人认为其不知不觉中改变了牙齿排列,改变了面部形象。
友情提示:佳德口腔会对每位网上预约前来就诊的顾客提供免费口腔检查,同时由医生根据顾客自身的情况和需求,制定的解决方案,在顾客详细了解治疗的过程和费用并确认同意之后才开始进行,杜绝了隐性消费的因素。
- 上一篇:成年人牙齿矫正有没有危害
- 下一篇:牙错位矫正贵不贵呢?



















