【合肥佳德口腔】牙周炎有什么危害? 很多人都知道牙周炎是一种常见的口腔疾病,但是,牙周炎在早期的时候比较难以被发现,再加上有些朋友对我们的口腔健康不太在乎,因此等到顾客到医进行就诊的时候情况已经不容乐观了,这归根到底就是人们对牙周炎及其危害认识不够。牙周炎有什么危害呢?下面有合肥佳德口腔的医生给我们做介绍。
>>>>点击咨询牙周炎是怎么引起的
什么是牙周炎?
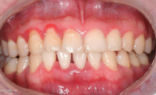
牙周炎是发生在牙齿支持组织包括牙龈、牙骨质、牙周韧带和牙槽骨的一种慢性、破坏 性疾病。常由菌斑,炎症引起,发病早期没有明显疼痛症状,易被忽略,等到症状明显时往往牙齿不保。据统计,我国18-50岁人群中大部分人患不同程度的牙周疾病和牙周炎。
牙周炎的危害:
常见的是咀嚼痛。由于牙周组织的炎症,牙周袋内化脓,而使顾客咬东西时非常疼痛。另一种疼痛与牙髓发炎相似,因为当牙齿松动时,细菌由牙周袋到达牙根末端的根端孔进入牙髓腔内引起牙髓发炎而疼痛。
危害二:导致牙齿松动脱落
牙周炎初期刷牙时牙龈会出血,过了一段时间后,牙根与牙龈间沟变深,形成牙周囊袋,进一步造成牙龈发炎及牙槽骨破坏,更会产生排脓、口臭、牙齿动摇等情形,较后导致牙齿脱落。
危害三:引发各种疾病
牙周炎严重者,引发冠心病、中风的几率也高出正常人很多;患重症牙周炎的女性易分娩早产低体重儿;牙周炎还可以导致一些已有全身疾病的顾客抵抗力减弱,从而轻易诱发呼吸消化系统疾病。
危害三:引发各种疾病
牙周炎严重者,引发冠心病、中风的几率也高出正常人很多;患重症牙周炎的女性易分娩早产低体重儿;牙周炎还可以导致一些已有全身疾病的顾客抵抗力减弱,从而轻易诱发呼吸消化系统疾病。
温馨提醒:牙周炎的治疗要根据每个顾客的牙齿综合情况来选择适合的治疗方法,顾客应该到正规的牙科,正规设备、医生、服务都是好的,才能程度保证治疗的效果,不正规牙科牙周炎效果往往不佳,较后往往百花冤枉钱。
以上就是合肥佳德口腔的医生关于
“牙周炎有什么危害”的相关介绍,相信您已经有了一定的了解。如果您还有什么疑问,欢迎咨询
佳德口腔在线医生,或者拨打
24小时免费服务热线:0551-62921159 佳德祝您生活愉快!
