
-
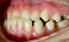
牙龈出血的原因是什么?
牙龈出血的原因是什么? 生活中我们常常会遇到牙龈出血的情况,早上刷牙出血或者是咬硬物时出血,合肥佳德口腔医生告诉您所有非正常的出血都肯定有炎症的情况存在的. 下面概述一下……【详细】

-
孕妇牙龈出血怎么办?
孕妇牙龈出血怎么办? 合肥佳德口腔是一家正规的口腔,对于孕妇口腔的保健问题有正规医生的指导跟表达.关于孕妇牙龈出血的处理,我们可以从以下几个方面着手. 1、牙刷可以……【详细】

-
怎么预防牙龈出血呢?
怎么预防牙龈出血呢? 牙龈出血一般是由于食物残渣没有及时清理干净,让这些东西停留在牙缝里,时间长了就会形成结石或牙斑菌,附着在牙齿上,慢慢就会导致牙龈发炎,导致牙龈出血.合……【详细】

-
牙龈出血通常是牙龈炎问题?
牙龈出血通常是牙龈炎问题 ?动不动就发生牙龈出血的情况,很多人都认为没什么大不了,或者就是多刷点牙就好了,其实不然,牙龈出血可能发生的情况就是牙龈炎,那么,出现这……【详细】

-
牙龈出血可能是牙髓发炎
【合肥佳德口腔】 牙龈出血可能是牙髓发炎 有牙龈炎,齿龈会红肿,或有出血现象。若刷牙时发觉牙齿容易出血,或牙齿有触痛情况,便需要看牙科医生。为什么说牙龈出血可能是牙髓……【详细】

-
牙龈出血可能是牙髓发炎
【合肥佳德口腔】 牙龈出血可能是牙髓发炎 有牙龈炎,齿龈会红肿,或有出血现象。若刷牙时发觉牙齿容易出血,或牙齿有触痛情况,便需要看牙科医生。为什么说牙龈出血可能是牙髓……【详细】

-
牙龈炎的主要症状有哪些呢?
如果一个人在刷牙的时候总是有血出现,而且自己的牙齿还有一定的疼痛感,那么这个人就可能患上了牙龈炎这个疾病,同时牙龈炎是一个发病原因比较多的疾病,那么牙龈炎的主要症……【详细】



















